أخبار

قرر وزير الأوقاف والشؤون والمقدسات الإسلامية وائل عربيات، وقف جميع المكافآت المصروفة لموظفي الوزارة، وإعادة دراستها بما يتناسب والأنظمة والتعليمات السارية لمعالجة ما وصف بالتشوهات في آلية صرفها. ويأتي

أكدت وزارة الصحة مضيها قدما في تنفيذ برنامجها للاعتمادية في اطار خطتها الشمولية للنهوض بخدماتها وتطويرها، حيث حصلت ستة مستشفيات اخيرا على الاعتمادية من مجلس اعتماد المؤسسات الصحية. وقال الناطق

أكد مدير إدارة مكافحة المخدرات العميد أنور الطراونة، أن الحديث عن المخدرات أكبر من حجم المشكلة، مشيرا إلى تصنيف الأردن كمنطقة مرور للمخدرات، وفقا لهيئة الرقابة على المخدرات العالمية. وأوضح الطراونة في

افتتح وزير الثقافة نبيه شقم،مندوبا عن الملكة رانيا العبد الله، في دائرة المكتبة الوطنية اليوم الاحد فعاليات الدورة العاشرة لمهرجان القراءة للجميع- مكتبة الأسرة الأردنية. ويهدف المشروع الى تشجيع

انتزع الباحث الاردني في علوم الوراثة والجينات سديم قديسات لقب "نجوم العلوم" للموسم الثامن، عقب منافسة مثيرة مع ثلاثة متسابقين من الجزائر ولبنان والبحرين خلال الحلقة النهائية للبرنامج الذي بث على قناة

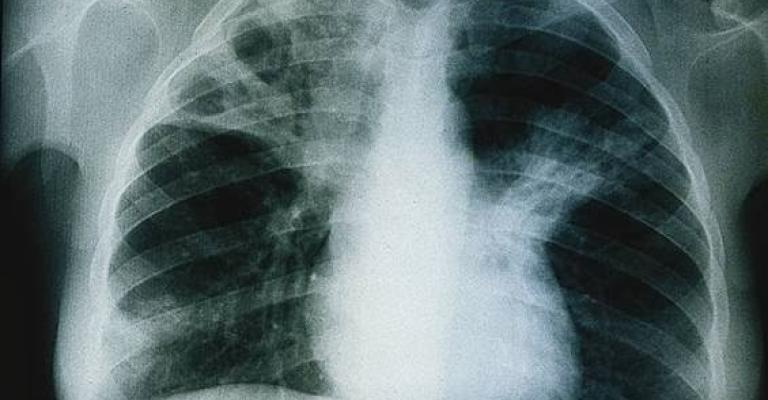
كشف مدير الأمراض الصدرية وصحة الوافدين في وزارة الصحة الدكتور إبراهيم المشايخ، إصابة 421 حالة بمرض السل خلال العام 2015، منهم 225 حالة من الوافدين. وأكد المشايخ لـ"عمان نت" أن الأردن يعد من أقل الدول

قضى مواطن وأصيب ثلاثة أشخاص إثر تصادم مركبة وصهريج على طريق أبو بنا في محافظة الطفيلة مساء السبت، قبالة مركز صحي العيص. وأوضح مصدر من مديرية دفاع مدني الطفيلة، بأن كوادر الإسعاف في الدفاع المدني قامت

ضبطت فرق التفتيش في وزارة العمل خلال حملات قامت بها مساء الخميس، العشرات من العمالة السورية الذين يعملون بطريقة غير نظامية دون تصاريح رسمية سارية المفعول في عدد من مناطق العاصمة. وقال الناطق الإعلامي

كشف رئيس المركز الوطني للسكري والغدد الصم والوراثة البروفيسور كامل العجلوني، أن نسبة انتشار السكري في الأردن حسب أحدث دراسة وطنية، تصل إلى 46% للفئة العمرية فوق 25 عاما. وقال العجلوني، خلال الاحتفال

كشفت كوادر مديرية آثار مأدبا عن وجود بقايا كنيسة وأرضيات فسيفسائية تعود للقرن السابع من العصر البيزنطي المتأخر والأموي المبكر في منطقة المأمونية الغربية بمأدبا اثناء حفر أساسات البناء. وقال مدير آثار











































